Yalova’da bir ilk! 58 yaşındaki hastanın beyin anevrizması tedavi edildi
Yalova’da bir ilk! 58 yaşındaki hastanın beyin anevrizması tedavi edildi
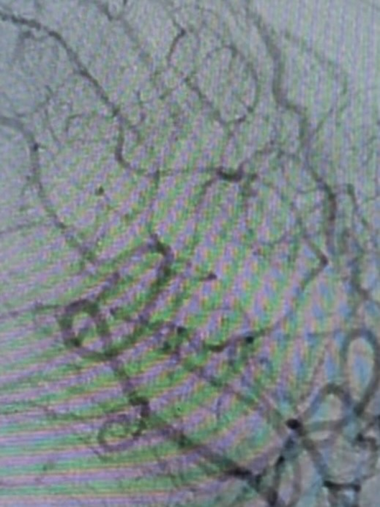
Yalova Eğitim ve Araştırma Hastanesi’nde Yalova Üniversitesi Tıp Fakültesi öğretim üyelerinin gerçekleştirdiği operasyon ile 58 yaşındaki bir hastanın beyin anevrizması (baloncuk) başarıyla tedavi edildi.
Haber Giriş Tarihi: 22.10.2025 15:11
Haber Güncellenme Tarihi: 22.10.2025 15:12
Kaynak:
Mustafa Turan
Yalova Eğitim ve Araştırma Hastanesi Acil Servisi’ne bilinci kapalı olarak getirilen 58 yaşındaki hasta, yapılan tetkiklerin ardından acil olarak endovasküler anjiyografi işlemine alındı.
KOMADA GELDİ YÜRÜYEREK TABURCU EDİLDİ
Yalova Üniversetisi Tıp Fakültesi Öğretim Üyesi Dr. Haydar Eren Özkaya ve ekibi tarafından gerçekleştirilen operasyonda kasıktan girilerek yapılan coil ve stent uygulamasıyla anevrizma kapatıldı. Operasyonun ardından hastaneye komada gelen hasta bilinci açık şekilde uyandı ve kısa sürede yürüyerek taburcu edildi.
Yalova Üniversitesi’nden yapılan açıklamada “Yalnızca sınırlı sayıda merkezde uygulanabilen bu tür beyin cerrahisi girişimlerin, artık Yalova Üniversitesi Tıp Fakültesi bünyesinde de yapılabilmesinin gururunu yaşıyoruz. Öğretim Üyemiz Dr. Öğr. Üyesi Haydar Eren Özkaya ve ekibini başarılarından dolayı tebrik ediyoruz” denildi.
Sizlere daha iyi hizmet sunabilmek adına sitemizde çerez konumlandırmaktayız. Kişisel verileriniz, KVKK ve GDPR
kapsamında toplanıp işlenir. Sitemizi kullanarak, çerezleri kullanmamızı kabul etmiş olacaksınız.
En son gelişmelerden anında haberdar olmak için 'İZİN VER' butonuna tıklayınız.
Yalova’da bir ilk! 58 yaşındaki hastanın beyin anevrizması tedavi edildi
Yalova Eğitim ve Araştırma Hastanesi’nde Yalova Üniversitesi Tıp Fakültesi öğretim üyelerinin gerçekleştirdiği operasyon ile 58 yaşındaki bir hastanın beyin anevrizması (baloncuk) başarıyla tedavi edildi.
Yalova Eğitim ve Araştırma Hastanesi Acil Servisi’ne bilinci kapalı olarak getirilen 58 yaşındaki hasta, yapılan tetkiklerin ardından acil olarak endovasküler anjiyografi işlemine alındı.
KOMADA GELDİ YÜRÜYEREK TABURCU EDİLDİ
Yalova Üniversetisi Tıp Fakültesi Öğretim Üyesi Dr. Haydar Eren Özkaya ve ekibi tarafından gerçekleştirilen operasyonda kasıktan girilerek yapılan coil ve stent uygulamasıyla anevrizma kapatıldı. Operasyonun ardından hastaneye komada gelen hasta bilinci açık şekilde uyandı ve kısa sürede yürüyerek taburcu edildi.
Yalova Üniversitesi’nden yapılan açıklamada “Yalnızca sınırlı sayıda merkezde uygulanabilen bu tür beyin cerrahisi girişimlerin, artık Yalova Üniversitesi Tıp Fakültesi bünyesinde de yapılabilmesinin gururunu yaşıyoruz. Öğretim Üyemiz Dr. Öğr. Üyesi Haydar Eren Özkaya ve ekibini başarılarından dolayı tebrik ediyoruz” denildi.
Mustafa Turan
Kaynak: Mustafa Turan